Logo
Logo
منذ 7 سنوات   نشر في  ٢٠١٩/٠٢/٠٧ م
لقاح الأنفلونزا Influenza Vaccine
لا نقصد هنا بالانفلونزا حالات الرشح الموسمي الذي يترافق مع سعال خفيف، بدون ارتفاع للحرارة الداخلية عموماً.
اذ ان قصة الأنفلونزا، الفيروس المسبب لها يتعرض سنوياً إلى تحولات جينية Mutation تحدث تغييراً في التكوين الوراثي للفايروس ؛ ما يعيق إنتاج لقاح فعال ومضمون لفئة محددة وأكيده من الفيروس.
وفي جميع الأحوال نختصر لنقول إنه من الأفضل إعطاء اللقاح سنوياً إلى فئات محددة من الناس، أي أولئك المعرضين للإصابة بالأنفلونزا خلال فصل الشتاء.
قراءة كامل الموضوع read more
1 + 3 =
منذ 7 سنوات   نشر في  ٢٠١٩/٠٢/٠٦ م
الفرق بين البلازما plasma والمصل Serum في الدم
البلازما سائل فسيولوجي شفاف يشكل حوالي 40-55% من حجم الدم. حوالي 90% من مكونات البلازما عبارة عن ماء اما الباقي 10% فهي عبارة عن مواد صلبة ذائبة، كالبروتينات، والمواد النيتروجينية غير البروتينية، والاحماض الدهنية، والدهون، والأحماض الأمينية، والهرمونات، والأجسام المضادة، والأملاح، والفيتامينات .. وغيرها.
المصل يشابه البلازما في تركيبه الكيميائي عدا أنه لا يحتوي على ألياف، (بمعنى ان المصل = البلازما – الألياف).
قراءة كامل الموضوع read more
3 + 5 =
منذ 7 سنوات   نشر في  ٢٠١٩/٠٢/٠٥ م
لمناعة من بدائع صنع الخالق
‏يحمي الجهاز المناعي الجسم من الإصابة بالأمراض ويدافع عنه ضد غزو الكائنات الدقيقة (من فيروسات ، وفطريات ، وطفيليات ، وغيره امن الجراثيم ) حيث يقوم الجهاز المناعي بتمييز العوامل الممرضة ومهاجمتها والقضاء عليها ومعادلة السموم التي تفرزها ، وبالإضافة الى الحماية ضد الجراثيم يقوم الجهاز المناعي أيضا بالتخلص من خلايا الأورام ، والخلايا الهرمة أو الميتة . ‏ويتكون الجهاز المناعي من أليات دفاعية متخصصة (مناعة تكيفية) ، وأخرى غير متخصصة (مناعة ‏فطرية) .
قراءة كامل الموضوع read more
4 + 3 =
منذ 7 سنوات   نشر في  ٢٠١٩/٠٢/٠٤ م
الفـرق بين الدم الوريدي والدم الشرياني
توضح الصورة ادناة الفرق مابين الدم الوريدي والشرياني ، اذا ان الدم الشرياني يكون ذو لون احمر فاتح (B) لكونه محملا بالاوكسجين حيث يضخ من القلب الى بقية اجزاء الجسم . وفي المقابل الدم الوريدي يكون ذو لون احمر قاتم (A) لكونه محملا بثاني اوكسيد الكاربون الذي ينقله من كافة اجزاء الجسم الى القلب .
قراءة كامل الموضوع read more
4 + 4 =
منذ 7 سنوات   نشر في  ٢٠١٩/٠٢/٠٣ م
الإمساك Constipation
احدى متاعب الجهاز الهضمي خاصة عند كبار السن والذي له علاقة بالفلورا الطبيعية ( بكتيريا المتعايشة ) في الامعاء . ووجود العصيات اللبنية في الامعاء يؤدي الى تقليل الغازات وذلك لإمكانيتها في تغير فلورا الامعاء . وتستعمل الاحياء العلاجية مثل البكتريا المنشطرة لمعالجة هذا العرض في كبار السن وكذلك في النساء الحوامل . وتستعمل بكتريا Lactobacillus acidophilus في منتجات الحليب المتخمر في علاج حالات ألامساك المزمن وتعطي نتائج جيدة عند استعمالها مع الألياف ومساعدات العلاج الحيوي
قراءة كامل الموضوع read more
3 + 7 =
منذ 7 سنوات   نشر في  ٢٠١٩/٠١/٣١ م
الرسم التخطيطي للقلب (Electrocardiograph (ECG
وهو عبارة عن رسم تخطيطي كهربائي يعكس سير السيالة العصبية داخل العضلة القلبية من خلال جهاز التوصيل. يمكن الحصول على هذا التخطيط باستخدام جهاز رسم القلب ECG.
2 + 4 =
منذ 7 سنوات   نشر في  ٢٠١٩/٠١/٣٠ م
الخلايا الصارية Mast Cells
احد مكونات الجهاز المناعي وهي من الخلايا المحببة تشتق من نخاع العظام وتشبه الخلايا القاعدية ولكنها ليست من خلايا الدم توجد في الأنسجة الرابطة للمعي والأمعاء والجلد والرئات واللسان وفي بطانة الأنف والقناة الهضمية ،وتكون مكوناتها مع مكونات الخلايا القاعدية مسئولة عن أعراض الحساسية تقوم الخلايا بإفراز الوسائط Mediators مثل الهستامين والسايتوكينات وغيرها بعد تحفيزها ، وتلعب دوراً أساسياً في تفاعلات الحساسية وحبيباتها تشبه حبيبات الخلايا القاعدية Basophils تحوي على…
قراءة كامل الموضوع read more
6 + 4 =
منذ 7 سنوات   نشر في  ٢٠١٩/٠١/٢٩ م
لمناعة السلبية المصطنعة Artificial Passive Immunity
هي نوع من تفاعلات المناعية تتم بنقل الأجسام المضادة وتستعمل في الأمراض الخطيرة وتعطي استجابة آنية مثل لقاحات الكزازTetanus الذي يتم بحقن الاجسام المضادة للسموم Antitoxins ،وبما ان هذه الأجسام المضادة ليست من الجسم فوجودها يكون آنيا ولا تؤدي الى خلق خلايا الذاكرة كما هو الحال في حالة المناعة الفعالة التي تحث تكون خلايا الذاكرة وتكون حمايتها دائمة . بينما المناعة السلبية الطبيعة عادة ما تأتي عن طريق الام من خلال الرضاعة وبهذا فهي ذات…
قراءة كامل الموضوع read more
1 + 8 =
منذ 7 سنوات   نشر في  ٢٠١٩/٠١/٢٨ م
نورايبنفرين Norepinephrine
هرمون (ناقل عصبي ) تفرزه الغدة الكظرية وكذلك نهايات الالياف العصبية الودية ويؤدى الوظائف التالية إلى:
- يزيد من نبضات القلب
- يزيد ضغط الدم
- يزيد من اتساع العين
- يزيد من اتساع القصبة الهوائية والشعب الهوائية
- يزيد من تحويل الجلايكوجين إلى جلوكوز
- يحيل الدم إلى العضلات والدماغ والقلب بدلاً من الجلد والأحشاء
- يمنع الحركة الدودية للمعدة والأمعاء
- يمنع تقلص المثانة والشرج
قراءة كامل الموضوع read more
4 + 5 =
منذ 7 سنوات   نشر في  ٢٠١٩/٠١/٢٧ م
المرونة الايضية Metabolic Flexibility
هي القابلية على التحول او التذبذب بين مصادر الطاقة الاساسية وهي الدهون والكربوهيدرات اعتمادا على توفرها والحاجة اليها
2 + 2 =
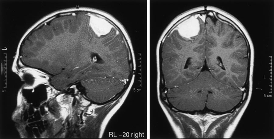
منذ 7 سنوات   نشر في  ٢٠١٩/٠١/٢٦ م
Meningioma
ورم يصيب غشاء السحايا الذي يحيط الدماغ والحبل الشوكي بصورة عامة بطيء النمو ينتج في Dura احد اغشية الدماغ الى الغشاء الخارجي من السحايا ، والقليل منها يكون اورام خبيثة ، والبعض منها يوصف بانه حالة بين الاورام الحميدة والخبيثة . تحدث عادة في النساء كبيرات السن ، اما في الرجال فتحدث عند اي سن . اسبابها قد تكون عائلية او من التعرض للاشعاع ، وكذلك المتعرضين لاشعة اكس عند فحص الاسنان ، ويمكن ان يزيد عند التعرض للهواتف النقالة بكثرة . والنواحي الوراثية تكون ناتجة من طفرات في كرموسوم…
قراءة كامل الموضوع read more
4 + 6 =
منذ 7 سنوات   نشر في  ٢٠١٩/٠١/٢٤ م
تعرف الزائدة الدودية Vermiform appendix على أنها قطعة صغيرة أسطوانية الشكل ومسدودة النهاية موجودة في نهاية المصران الأعور، الواقع في بداية الأمعاء الغليظة، وعلى الرغم من عدم تحديد الفائدة الوظيفية الحقيقة للزائدة الدودية، إلا أنها تلعب دوراً هاماً في تصفية البكتيريا والفيروسات التي تدخل الجسم لاحتوائها على نسيج ليمفاوي يقاوم هذه الأجسام الدخيلة ويكون مناعة في الجسم ضدها، كما أنها تعمل كموقع تخزين من أجل هضم النباتات التي تقوم الأمعاء بتزويدها بها عند الضرورة.
قراءة كامل الموضوع read more
8 + 6 =